Коронки на оксиде циркония («Циркониевые» коронки)Цельнокерамические коронки IPSe.max («Имакс» коронки)
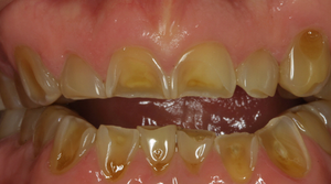
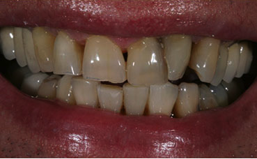
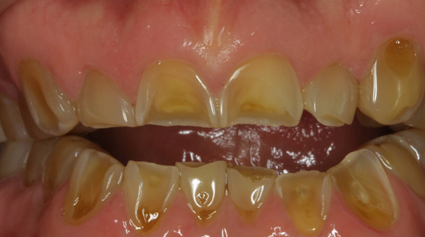
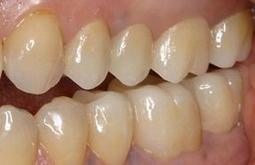
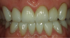
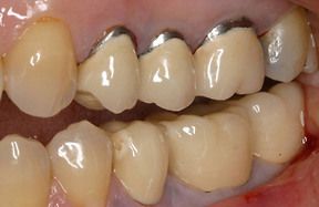
«Циркониевые» и Цельнокерамические коронки относятся к безметалловым реставрациям, т.е. в их конструкции нет металла. Безметалловая коронка – реставрация, изготовленная в форме колпачка белого цвета, сверху полностью повторяющего форму и цвет зуба. Таким образом, коронка полностью покрывает всю часть зуба, которая расположена над десной. Коронки на оксиде/диоксиде циркония и цельнокерамические коронки/виниры IPS e.max – наиболее современные технологии эстетичного протезирования зубов. Коронки на оксиде циркония и цельнокерамические коронки «Имакс» можно устанавливать как на передние, так и на боковые зубы. Кроме того, на оксиде циркония можно изготавливать потрясающие реставрации и конструкции при протезировании на имплантатах.
|
|
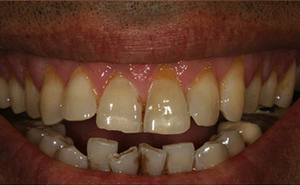
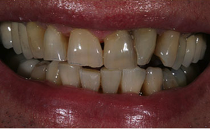
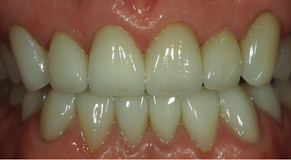
Плюсы безметалловых коронок «Циркониевые» и цельнокерамические коронки «Имакс» выглядят очень эстетично и натурально, так как преломляют и пропускают свет, как и свои здоровые зубы. При этом они имеют высокую прочность, сопоставимую с металлокерамикой. Эти реставрации полностью биологически совместимы (биоинертны) с организмом человека и, таким образом, не могут вызвать аллергию. Под данные коронки зубы обтачиваются в 2 раза меньше, чем под металлокерамические коронки и, поэтому, в большинстве случаев удаление нерва – не требуется. Не маловажное значение имеет и долговременное сохранение эстетического результата, в отличие от протезирования металлокерамикой (не происходит оголение металлической основы коронки и нет эффекта «темного края» в области десны). |
|
Как долго прослужат «циркониевые»/цельнокерамические коронки? Эти коронки, если лечение проведено правильно, могут простоять более 10 лет. На срок службы безметалловых коронок влияют: исходное состояние зубов и прикуса, уровень личной гигиены и регулярное проведение профессиональной чистки зубов, бережное отношение к своим новым зубам. В стоматологической клинике Вита-Дент действует юридическая гарантия на безметалловые коронки до 3 лет с момента их фиксации. |
|
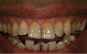
Как проходит лечение? Для установки безметалловых коронок обычно достаточно 4 посещений стоматологической клиники. Во время первого – проводится полная диагностика состояния зубов, обсуждаются варианты лечения и получают диагностические слепки? В следующий раз – совершенно безболезненно с применением современных средств анестезии обрабатываются зубы под коронки. Обточенные зубы покрываются специальными веществами, которые защищают и уменьшают их чувствительность, после этого изготавливаются временные коронки. Спустя 10-14 дней (время необходимое для восстановления десны) врач снимает слепки с подготовленных зубов. Обратно закрепляет временные пластмассовые коронки, которые практически не заметны при улыбке. В 4 посещение изготовленные зубным техником керамические коронки примеряют и безболезненно приклеивают к зубам. |
|
Сколько это стоит? Стоимость отражает количество потраченного времени и мастерство стоматолога также хорошо, как и используемые оборудование и материалы. На стоимость установки безметалловой керамики также влияет:
Стоимость лечения открыто обсуждается и в конце консультации выдается план лечения с подробным счетом. Стоимость изготовления безметалловых коронок в Брянске на 1 зуб в клинике Вита-Дент составляет от 8000 до 20000 рублей. |

Что такое безметалловая коронка?






