Керамические виниры
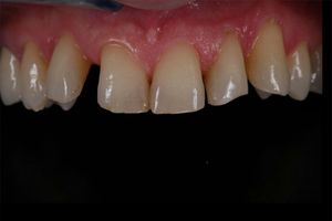
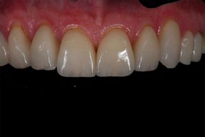
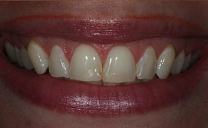
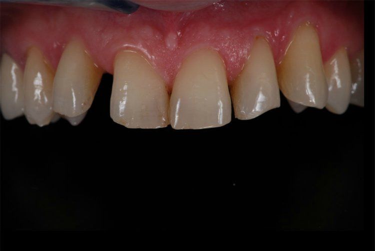
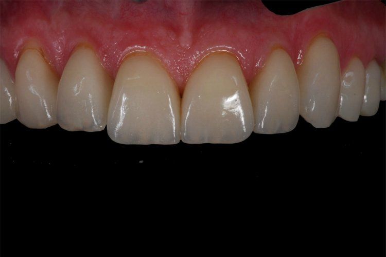
Виниры – это тонкие керамические накладки на видимую поверхность зубов. Таким образом, виниры скрывают все видимые недостатки зубов, а задние поверхности остаются не тронутыми. С их помощью можно в разумных пределах изменять положение зуба, его цвет, размер и форму. Стоит заметить, что виниры также могут быть изготовлены из особо прочного композитного материала. Но на сегодняшний день специальная керамика – самый эстетичный и долговечный материал для виниров. Почему виниры? Толщина виниров всего 0,5-1 мм, поэтому зубы сошлифовываются незначительно, а иногда можно и вовсе обойтись без «обточки». И, конечно, удалять нерв из зуба – не нужно. Керамические виниры выглядят великолепно и не заметны окружающим. Виниры не стираются, не тускнеют и не меняют цвет с течением времени (в отличие от композитных пломб). Благодаря идеально отполированной поверхности на винирах не образуется и не скапливается зубной налет и налет от сигарет. Благодаря этому будет поддерживаться здоровое состояние десны, без ее воспаления и кровоточивости. Показания к установке виниров
|
|
Как долго прослужат виниры? Керамические виниры, если лечение проведено правильно, могут простоять и выглядеть великолепно более 10 лет. На срок службы виниров влияют: исходное состояние зубов и прикуса, уровень личной гигиены и регулярное проведение профессиональной чистки зубов, бережное отношение к своим новым зубам. В стоматологической клинике Вита-Дент действует юридическая гарантия на виниры до 3 лет с момента их фиксации. |
|
Как проходит лечение? Для установки виниров обычно достаточно 3 визитов в клинику. Во время первого – проводится полная диагностика состояния зубов, обсуждаются варианты лечения и получают диагностические слепки? В следующий раз – совершенно безболезненно обрабатываются зубы под виниры (если это необходимо), снимают слепки с подготовленных зубов. Изготавливаются временные пластмассовые виниры, которые практически не заметны при улыбке. Далее изготовленные зубным техником керамические виниры примеряют и приклеивают к зубам. |
|
Как скоро Я привыкну к винирам и новой улыбке? Как правило, привыкание к винирам происходит в течении 1-2 недель. Уже через месяц большинство пациентов полностью забывают, что поставили себе виниры. Кроме того, за это время мышцы лица подстраиваются под новые зубы и улыбка будет выглядеть еще более естественно и гармонично, чем в момент установки виниров. Сколько это стоит? Стоимость отражает количество потраченного времени и мастерство стоматолога также хорошо, как и используемые оборудование и материалы. На стоимость установки керамических виниров также влияет:
Стоимость лечения открыто обсуждается и в конце консультации выдается план лечения с подробным счетом. Стоимость изготовления керамического винира в Брянске на 1 зуб в клинике Вита-Дент составляет от 8000 до 20000 рублей.
|

Что такое виниры?




